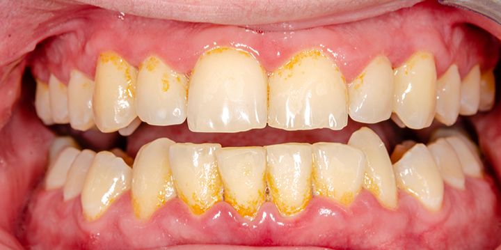
Qué es sarro en los dientes

El sarro, o cálculo dental, es una acumulación de placa bacteriana tanto en los dientes como en las encías, puede llegar a dañar el esmalte dental y provocar caries. Se produce cuando la placa bacteriana, no ha sido eliminada de forma correcta y se endurece. Esta capa que es áspera y porosa se forma tanto por encima […]