La menopausia es una etapa de importantes cambios en el cuerpo de una mujer, y la boca no es una excepción. A menudo se pasa por alto, la relación entre menopausia y salud bucodental, pero es más estrecha de lo que parece. Los cambios hormonales que existen en esta fase pueden desencadenar o agravar diferentes problemas tanto en los dientes como en las encías, por lo que prestar atención a la higiene oral y adoptar hábitos específicos es vital para preservar la salud bucal a partir de los 45 años.
Los cambios hormonales de la menopausia y la salud bucodental
En la menopausia se produce una disminución considerable de estrógenos, una hormona clave que, entre otras funciones, influye en la densidad ósea y en los tejidos blandos del cuerpo. Esto incide directamente en la salud bucodental, siendo mayor el riesgo de sufrir enfermedad periodontal, sequedad bucal y pérdida dental, además de alterar la textura de las encías o la percepción del sabor.
Problemas bucales más habituales durante la menopausia
1. Gingivitis descamativa
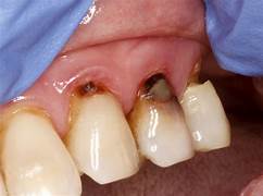
Se caracteriza porque se produce la separación de las capas externas de las encías dejando incluso la raíz del diente expuesta, provocando sensibilidad ante agentes externos como bebidas o comida caliente o fría.
La gingivitis descamativa hace que el tejido gingival se enrojezca, duela e incluso pueda aparecer sangrado, ya sea espontáneo o al cepillar los dientes.
Esta patología, debe de tratarse a tiempo ya que, de no ser así, puede derivar en una periodontitis, una enfermedad más grave y difícil de curar que provoca la caída de los dientes.
Por todo esto, te recomendamos tener un control del estado de las encías, esto, conlleva ir al dentista en cuanto se observe los síntomas mencionados anteriormente.

2. Xerostomía o sequedad bucal
La secreción salival es vital porque ayuda a mantener húmedos los tejidos de la boca, esto, favorece que esté más limpia y que se regule la cantidad de bacterias presentes en dicha zona del cuerpo.
No obstante, en la menopausia, las glándulas salivales segregan menos cantidad de saliva, produciendo sequedad bucal.
El tener la boca seca conlleva, mayor probabilidad de desarrollar caries o cualquier otro tipo de infección.

3. Síndrome de la boca ardiente
El ardor bucal es uno de los problemas postmenopáusicos más habituales.
Normalmente, se caracteriza por provocar síntomas como un fuerte ardor, sensación de quemazón, escozor, hormigueo o adormecimiento de la lengua, aunque también puede darse en las encías y los labios.

4. Adelgazamiento de la mucosa bucal
Al existir una reducción en la producción de hormonas, las mucosas de la boca, al igual que las de todo el cuerpo, se vuelven más frágiles y se debilitan.
Para prevenir las alteraciones de la mucosa oral se pueden llevar a cabo hábitos saludables como: cepillarse los dientes después de cada comida, acudir regularmente al dentista (al menos una vez al año), evitar el consumo de tabaco y alcohol, etc.

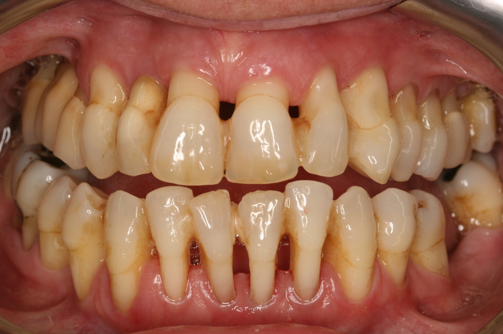
5. Caries radiculares
Las caries en la raíz del diente suelen aparecer debido a un cúmulo de circunstancias que suceden durante la menopausia.
En primer lugar, contribuye a esto la gingivitis descamativa, porque deja la raíz del diente expuesta a agentes externos.
En segundo lugar, la caries encuentra en la sequedad bucal un ambiente propicio para desarrollarse.

6. Deterioro dental
Generalmente, el envejecimiento de las personas va unido a una pérdida del brillo y del blanco original de los dientes, volviéndose más opacos y amarillos.

7. Periodontitis y pérdida de hueso
Hay infinidad de estudios que demuestran la relación existente entre las enfermedades periodontales y la osteoporosis.
Durante la menopausia, estos problemas se agravan, ya que la reabsorción de hueso que afecta normalmente a todo el organismo afecta de igual manera a la boca.
Al mermarse el hueso maxilar, está en riesgo la supervivencia de los dientes, éstos pierden el soporte sobre el que se sostienen.

Cuidados especiales a partir de los 45 años
La etapa premenopáusica y la menopausia requieren un refuerzo en los hábitos de cuidado bucal.
Algunas recomendaciones clave:
- Higiene bucodental rigurosa: cepillarse dos veces al día, uso de hilo dental y colutorios con flúor.
- Buena hidratación: beber agua frecuentemente, esto ayuda a combatir la sequedad bucal.
- Revisiones periódicas: visitar al dentista al menos dos veces al año para detectar precozmente cualquier alteración en dientes, encías o hueso.
- Productos especializados: dentífricos con flúor para fortalecer el esmalte, pastas específicas para sensibilidad dental, productos antimicrobianos, hidratantes o con ingredientes naturales como aloe vera.
Conclusión
La menopausia transforma el equilibrio hormonal del cuerpo, y también repercute en la salud bucodental. Con prevención, cuidados correctos y revisiones periódicamente, es posible tener una boca sana y funcional durante esta etapa y más allá.
Si quieres más información pide cita con nosotros y te explicaremos qué podemos hacer por ti:
https://www.clinicadentalsigloxxi.com/contacto-clinica-dental/#cita






