Hoy hablamos de 6 problemas dentales comunes y cómo prevenirlos. La salud bucal es importantísima para el bienestar general. Muchos de los problemas más frecuentes se pueden evitar si se tiene una buena higiene, hábitos saludables y atención profesional regular.
Algunos de los problemas más frecuentes son:
1. Caries dental
Las caries son uno de los problemas dentales más habituales, afectan tanto a adultos como a niños. Cuando las bacterias en la boca producen ácidos y estos, desgastan el esmalte dental, formando cavidades en los dientes. Los factores de riesgo son una dieta rica en azúcares, higiene inadecuada y falta de atención dental de forma periódica.
Cómo prevenir las caries: Para prevenir las caries es importante tener el hábito de cepillarse los dientes al menos dos veces al día con pasta de dientes fluorada, usar hilo dental a diario para limpiar entre los dientes y limitar el consumo de alimentos y bebidas azucaradas.
Las revisiones dentales periódicamente permiten que se puedan detectar las caries en sus etapas iniciales y tratarlas a tiempo.

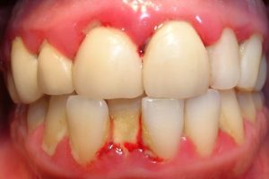
2. Enfermedades de las encías (gingivitis y periodontitis)
Las enfermedades de las encías, gingivitis, periodontitis, normalmente, son el resultado de la placa y sarro acumulados entre los dientes y las encías.
Cómo prevenir problemas en las encías: Mantener una buena higiene bucal. Es de ayuda usar enjuagues bucales antibacterianos. Realizar limpiezas profesionales cada seis meses ya que ayuda a que se elimine la placa y el sarro que pueden causar inflamación y otros problemas en las encías.

3. Halitosis
La halitosis o mal aliento puede deberse a diferentes causas, acumulación de placa, descomposición de partículas de alimentos en la boca, enfermedades de las encías o ciertas condiciones médicas.
Es un problema bastante habitual que llega a afectar la autoestima y la confianza de muchas personas, pero se puede prevenir.
Cómo evitar la halitosis: Tener una buena rutina de limpieza bucal, lo que incluiría cepillado de lengua y uso de hilo dental, esto, puede reducir de forma significativa el mal aliento.
Te recomendamos evitar el tabaco, reducir el consumo de alimentos de fuerte olor y beber suficiente agua para que la boca esté hidratada.

4. Sensibilidad dental
La sensibilidad dental sería cuando los dientes reaccionan y tienen dolor al contacto con alimentos o bebidas frías, calientes, dulces o ácidas. Podría ser un signo de desgaste del esmalte, una raíz expuesta o un indicio de otros problemas dentales.
Cómo reducir la sensibilidad dental: Utilizar una pasta dental específica para dientes sensibles y tener una técnica de cepillado que sea suave y cuidadosa. Es importante evitar el consumo excesivo de alimentos ácidos.

5. Erosión del esmalte
La erosión del esmalte sucede cuando la superficie del diente se desgasta por la acción de ácidos, esto, puede resultar en un mayor riesgo de caries y sensibilidad dental. Factores como el consumo de bebidas ácidas y gaseosas, el bruxismo (rechinar de dientes) y una mala higiene oral favorecen al desgaste.
Cómo proteger el esmalte: Limitar el consumo de alimentos y bebidas ácidas, enjuagar la boca con agua si se han consumido y evitar cepillarse inmediatamente, porque el esmalte está temporalmente debilitado. Usar una pasta dental con flúor también ayuda a fortalecer el esmalte.

6. Dientes torcidos o mal alineados
Los dientes desalineados, conocidos como maloclusión, además de afectar la estética de la sonrisa, también dificulta tener una limpieza correcta, lo que aumenta el riesgo de caries y enfermedades de las encías.
Cómo manejar la desalineación: La ortodoncia suele ser la mejor opción para alinear los dientes. Las revisiones dentales desde una edad temprana ayudan a detectar problemas de alineación.

Si tienes alguna duda o necesitas que veamos tu muela del juicio, en nuestra clínica estaremos encantados de atenderte y cuidar de tu sonrisa.
Si quieres más información pide cita con nosotros y te explicaremos qué podemos hacer por ti:
http://: https://www.clinicadentalsigloxxi.com/contacto-clinica-dental/#cita
Recuerda que también estamos en la zona de Embajadores:
https://www.clinicadentalsigloxxi.com/clinica-dental-embajadores/#formularioembajadores








